Mūsų atlikti darbai - naujos šypsenos
Šypsodamiesi galite drąsiai imtis naujų gyvenimo iššūkių!


Prieš
Pacientei reikalingas protezavimas ir plombavimas atkuriant nudilusius dantis.
Po
- Pacientei atliktas protezavimas ir plombavimas atkuriant nudilusius dantis.
- Protezuota metalo keramikos vainikėliais, priekinių dantų plombavimas pagal dantų techniko paruoštą pavaškavimą.

Prieš

Po


Prieš
Problema, kurią sprendėme:
- nudilę dantys.
Po
Pacientei atliktas estetinis plombavimas atkuriant nudilusius dantis pagal dantų techniko paruoštą pavaškavimą.

Prieš

Po


Prieš
Problemos, kurias sprendėme:
- nudilę dantų krašteliai;
- patamsėjusi dantų spalva.
Po
- Atkurti nudilę kandamieji krašteliai,
- padailinta dantų forma,
- pašviesinta spalva,
- estetinis plombavimas.

Prieš

Po

Prieš
Po
- Viršutinio žandikaulio protezavimas ant implantų (All-on-4)
Prieš

Po


Prieš
Problemos, kurias sprendėme: priekinių centrinių dantų patamsėjimas.
Po
- Priekinių (negyvų patamsėjusių) centrinių dantų protezavimas laminatėmis.

Prieš

Po


Prieš
Po
- Priekinių dantų plombavimas.

Prieš

Po


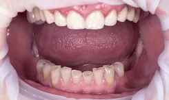
Prieš
Problemos, kurias sprendėme: dantų nebuvimas.
Po
- Viršutinio žandikaulio protezavimas ant implantų (All-on-4).

Prieš

Po


Prieš
Problemos, kurias sprendėme: dantų nebuvimas.
Po
- Sudėti išimami akriliniai dantų protezai.

Prieš

Po

Pasirinkite patikimą specialistą
Registruokitės vizitui dabar ir ženkite pirmą žingsnį sveikos šypsenos link

Ką kalba mūsų pacientai?
Kaip visuomet malonus bendravimas tiek administratorės tiek gydytojos.
Didžiausios rekomendacijos ieškant gerų savo srities specialistų! 😊
Didžiausios rekomendacijos ieškant gerų savo srities specialistų! 😊
Eglė
Atliktas vaikų dantų gydymas
Nuostabi klinika, operatyviai ir kokybiškai suteikta pagalba! Daugybė paslaugų vienoje vietoje, ačiū gydytojom!
Marija
Atliktas vaikų dantų gydymas
Likau labai patenkintas vizitu. Registratūroje aptarnavo greitai ir mandagiai, odontologė viską nuosekliai paaiškino ir pasiūlė tinkamiausias procedūras. Moderni įranga, švari aplinka.
Edgaras
Atliktas dantų plombavimas ir gydymas
Kaip visuomet malonus bendravimas tiek administratorės tiek gydytojos.
Didžiausios rekomendacijos ieškant gerų savo srities specialistų! :)
Eglė
Atliktas dantų plombavimas ir gydymas
Pačios geriausios rekomendacijos.Klinikoje lankomės visa šeima. Visuomet būname šiltai sutinkami administratorės Anos.
Labai džiaugiamės atradę Laurą Juškienę, labai atidi,kruopšti, švelni gydytoja, paslaugos aukščiausio lygio. Dėkoju jai, padėjus atsikratyti baimės lankytis pas odontologą.
Taip pat Rūta Lėlytė, puiki gydytoja, moka susitarti su mažaisiais pacientais ir apsilankymas pas dantukų fėją tampa labai laukiamas.
Dantukų higienos specialistė Aistė,labai švelni ir maloni.
Ačiū visai komandai!
Toma
Atliktas dantų plombavimas ir gydymas, burnos higiena
Pati geriausia klinika Druskininkuose.Odontologe Laura Juskiene be galo maloni,atidi,demesinga.Pati geriausia.Labai rekomenduoju!
Rima
Atliktas dantų protezavimas
Puiki klinika. Ačiu gyd.odont. Ramanauskienei ir visam kolektyvui už suteiktą paslaugą.
Vidas
Atliktas dantų plombavimas ir gydymas
Profesionalu, paprasta ir be skausmo. Ačiū!!!
Augusta
Atliktas dantų plombavimas ir gydymas
Pati geriausia odontologijos klinika. Tiek savininkė Laura Juškienė tiek visas kitas personalas. Rūpinasi, skambina, teraujasi kaip pacientas, kaip jo savijauta. Tik geriausi atsiliepimai. Visiems reiktų dirbti, ir mylėti savo klientus kaip jų klinika. Didžiausias ir nuoširdžiausias ačiū, kad jie yra Druskininkuose.
Karolina
Atliktas dantų plombavimas ir gydymas, burnos chirurgija
Nuoširdus AČIŪ Laurai Juškienei ir jos persionalui už malonų bendravimą ir ypač kruopščiai ir atsakingai atliktą darbą. Yra atsidavusių savo darbui daktarų, kurie dirba iš pašaukimo – tai odontologė Laura Juškienė
Daiva
Atliktas dantų protezavimas, dantų plombavimas ir gydymas
Ką kalba mūsų pacientai?
Kaip visuomet malonus bendravimas tiek administratorės tiek gydytojos.
Didžiausios rekomendacijos ieškant gerų savo srities specialistų! 😊
Didžiausios rekomendacijos ieškant gerų savo srities specialistų! 😊
Eglė
Atliktas vaikų dantų gydymas
Nuostabi klinika, operatyviai ir kokybiškai suteikta pagalba! Daugybė paslaugų vienoje vietoje, ačiū gydytojom!
Marija
Atliktas vaikų dantų gydymas
Likau labai patenkintas vizitu. Registratūroje aptarnavo greitai ir mandagiai, odontologė viską nuosekliai paaiškino ir pasiūlė tinkamiausias procedūras. Moderni įranga, švari aplinka.
Edgaras
Atliktas dantų plombavimas ir gydymas
Kaip visuomet malonus bendravimas tiek administratorės tiek gydytojos.
Didžiausios rekomendacijos ieškant gerų savo srities specialistų! :)
Eglė
Atliktas dantų plombavimas ir gydymas
Pačios geriausios rekomendacijos.Klinikoje lankomės visa šeima. Visuomet būname šiltai sutinkami administratorės Anos.
Labai džiaugiamės atradę Laurą Juškienę, labai atidi,kruopšti, švelni gydytoja, paslaugos aukščiausio lygio. Dėkoju jai, padėjus atsikratyti baimės lankytis pas odontologą.
Taip pat Rūta Lėlytė, puiki gydytoja, moka susitarti su mažaisiais pacientais ir apsilankymas pas dantukų fėją tampa labai laukiamas.
Dantukų higienos specialistė Aistė,labai švelni ir maloni.
Ačiū visai komandai!
Toma
Atliktas dantų plombavimas ir gydymas, burnos higiena
Pati geriausia klinika Druskininkuose.Odontologe Laura Juskiene be galo maloni,atidi,demesinga.Pati geriausia.Labai rekomenduoju!
Rima
Atliktas dantų protezavimas
Puiki klinika. Ačiu gyd.odont. Ramanauskienei ir visam kolektyvui už suteiktą paslaugą.
Vidas
Atliktas dantų plombavimas ir gydymas
Profesionalu, paprasta ir be skausmo. Ačiū!!!
Augusta
Atliktas dantų plombavimas ir gydymas
Pati geriausia odontologijos klinika. Tiek savininkė Laura Juškienė tiek visas kitas personalas. Rūpinasi, skambina, teraujasi kaip pacientas, kaip jo savijauta. Tik geriausi atsiliepimai. Visiems reiktų dirbti, ir mylėti savo klientus kaip jų klinika. Didžiausias ir nuoširdžiausias ačiū, kad jie yra Druskininkuose.
Karolina
Atliktas dantų plombavimas ir gydymas, burnos chirurgija
Nuoširdus AČIŪ Laurai Juškienei ir jos persionalui už malonų bendravimą ir ypač kruopščiai ir atsakingai atliktą darbą. Yra atsidavusių savo darbui daktarų, kurie dirba iš pašaukimo – tai odontologė Laura Juškienė
Daiva
Atliktas dantų protezavimas, dantų plombavimas ir gydymas